Smile Gallery Aurora, CO
Implant, Cosmetic & Family Dentist Serving Aurora, Centennial, Parker, Green Valley Ranch & Nearby Areas of Colorado

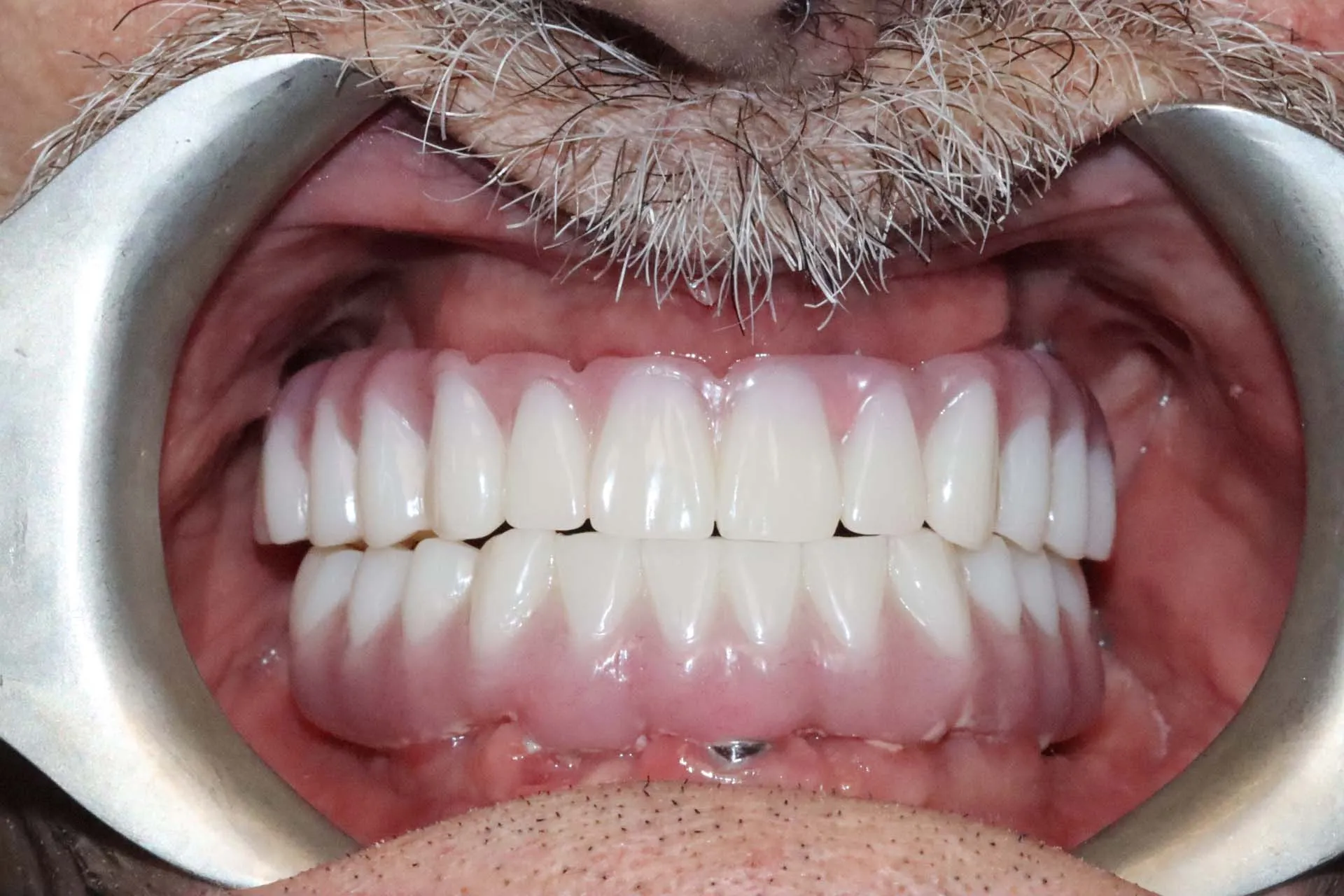
Digital Cosmetic Smile Makeover

Full upper smile makeover was created digitally with computer aided design (CAD). Patient required replacement of previous dental work done internationally. 3D models were generated to help create a replica of the final smile and was used to create temporaries. Prosthetics were made within 2 weeks with our in-office lab technician and ceramist. The bottom arch was also restored with implants and a dental bridge.
Full Mouth Rehabilitation

Our patient required full mouth rehabilitation due to severe caries and infection. All upper teeth were removed, 6 implants were placed, and a full arch hybrid prosthetic (Hybridge) was fabricated. Due to delays from COVID, treatment took 10 months but usually takes 4-8 months.

Our patient had lost several teeth due to periodontal disease and malocclusion. All upper teeth were removed (including a palatally impacted canine), 6 implants were placed, and a full arch hybrid prosthetic (Hybridge) was fabricated. The lower teeth are being maintained and were either adjusted or built up to even his plane of occlusion. The final Hybridge prosthetic was delivered in 2 months from surgery.
Cosmetic Crowns and Bridges

Patient presented with gummy smile, asymmetrical gum tissue, canted smile, and multi-colored teeth. Three crowns and a three unit bridge were completed on the anterior maxillary teeth. Can you guess which area is the bridge?
Screw Retained Implant Bridge

Implants were placed after a failed bridge and teeth were removed. After surgery, three months of healing time was needed and the bridge was created and restored. One surgery and no cement needed!
Veneers

Patient presented with fluorosis, staining, and short teeth during the initial consultation. Professional whitening was performed and veneers created within a week using our in-office crown and veneer milling machine.
Microabrasion to Remove White Spot Lesions

White spot lesions were removed using microabrasion and polishing techniques over a 10 minute period with the desired result. Patient had never been offered this service at any other office.
Immediate Complete Dentures

Patient presented with loose and broken teeth. The denture was fabricated prior to the remaining teeth being removed. The patient wore a temporary denture during fabrication and was never without teeth.
Single Tooth Implant And Crown

Patient broke his lateral incisor off at the gumline. A traditional implant was placed the same day with a temporary and restored three months later with a permanent crown.
Cosmetic Smile Makeover

Patient had extensive needs due to cavities and broken teeth. Cosmetic crowns and bridges restored patient's smile to full health.
Palate Free Mini Implant Supported Overdentures

Mini dental implants were placed at the time of tooth extractions. A palateless denture was fabricated and clips onto the implants for maximum retention of the denture. The patient wore a temporary denture during treatment and was never without teeth while undergoing treatment.
Cosmetic Bridges

Patient presented with missing lateral incisors, short teeth, and flat lip line. Because the bone was too thin for implants, cosmetic bridges were completed to replace the missing incisors and lengthen the teeth.
Digitally Scanning Teeth to Create Beautiful Smiles

This was a creative case we completed for our patient who had a very wide diastema (space between her front teeth). We prepped all anterior six teeth that were discolored and spaced out significantly and created crown and bridge prosthetics for eight teeth (a pretty creative illusion). The patient did not want to undergo orthodontics so we performed a minor gum surgery (gingivectomy) to lengthen the appearance of her teeth. This beautiful prosthetic was entirely digitally scanned and designed (no need for icky impressions).
Esthetic Composite Dental Fillings

This patient required replacement of amalgam (metal/mercury) fillings due to damage the old fillings were causing to the outer and inner tooth structure. These metal fillings were removed and replaced with esthetic, composite fillings that matched the teeth.
Upper & Lower Full Arch Implants (Underbite Correction)




Our patient had severe decay on his upper teeth and multiple lower missing teeth with severe malocclusion (underbite). The patient also had high anxiety and desired to treat his lower arch first, and a few months later, his upper jaw. All teeth were removed under oral sedation, 6 implants were placed on the upper arch and 5 on the lower arch. A fixed (screwed-in) full arch hybrid prosthetic was fabricated. Both final full arch prosthetics were delivered 2 months from surgery and the underbite was completely corrected.
What Our Patients Say
Office Hours
When to Find Us
Monday - Friday: 8:00am to 5:00pm
Saturday: By Appointment Only
Sunday: Closed